Harp Endodontics Manhattan Endodontist Mobile Logo

our services

Endodontic Treatments

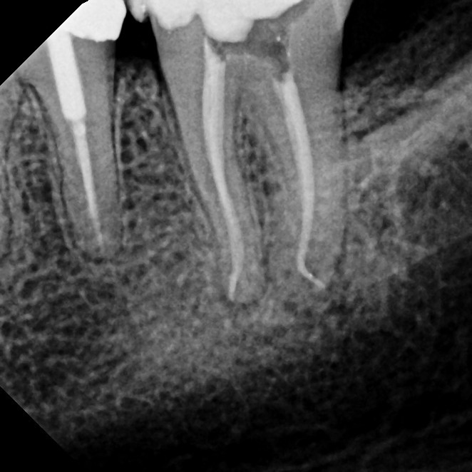
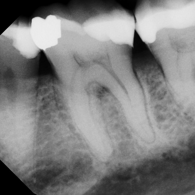
Root Canal Therapy

Root canal therapy is a specialized treatment designed to save a tooth that has been damaged by deep decay, trauma, or infection. Sometimes the problem causes noticeable pain or sensitivity, but in other cases it may develop quietly without obvious symptoms. During the procedure, the infected or damaged nerve tissue inside the tooth is carefully removed, the canals are disinfected, and the space is sealed to prevent further problems. Local anesthesia ensures you're completely comfortable throughout the process.

Thanks to advances in modern dentistry, root canals have become far more comfortable and efficient than they were in the past. Most patients report that the experience is comparable to having a standard filling, and recovery is typically quick. By treating the tooth promptly, you can avoid more serious dental issues, preserve your natural smile, and return to normal function without the need for extraction.

Root Canal Therapy at Harp Endodontics Manhattan New York

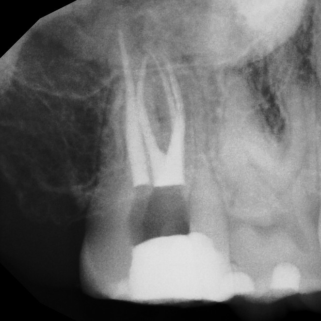
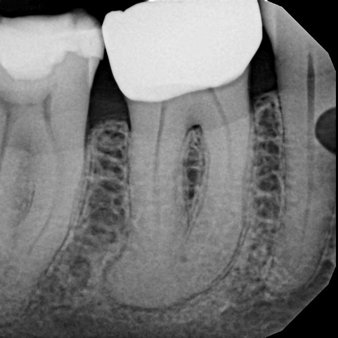
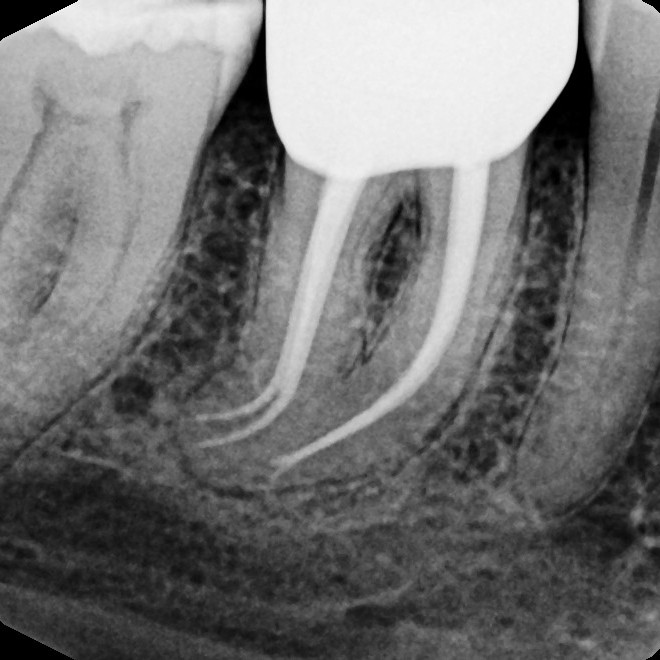
Retreatment

Sometimes, a tooth that has already undergone root canal therapy may not heal as expected or may develop new problems months or even years later. In these cases, endodontic retreatment offers a second chance to save the tooth. During this procedure, the existing filling materials are carefully removed from the canals, the inside of the tooth is cleaned again, and any hidden or untreated areas are addressed before the canals are sealed once more. This process allows your dentist to correct any issues and give the tooth the best possible chance for long-term success.

Thanks to modern tools and techniques, retreatment is a precise and effective procedure that can often be completed comfortably under local anesthesia. Many patients are surprised to learn that retreatment is no more uncomfortable than the original root canal. By choosing retreatment instead of extraction, you preserve your natural tooth, maintain your smile's appearance, and avoid the more complex and costly process of replacing a missing tooth.

Endodontic Retreatment at Upper East Side endodontist New York

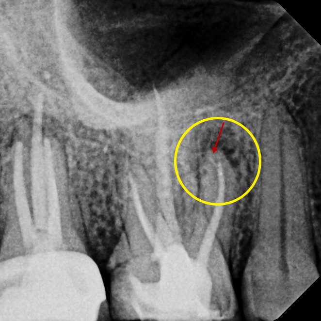
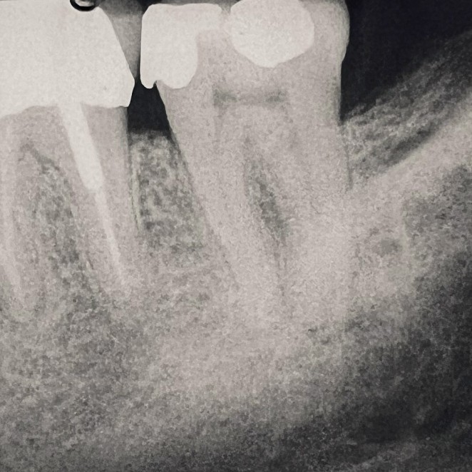
Periapical Surgery

Endodontic surgery is a specialized dental procedure used to treat problems at the tip of a tooth's root or in the surrounding bone when standard root canal therapy isn't enough. The most common type, called an apicoectomy, involves making a small opening in the gum to access the root tip, removing infected tissue, and sealing the end of the root to prevent the infection from returning. This allows us to save the natural tooth and restore oral health, even in cases where other treatments have failed.

While it may sound complex, modern endodontic surgery is precise, minimally invasive, and performed under local anesthesia for your comfort. Most patients are surprised at how quick and straightforward the procedure is, and recovery is typically fast. Choosing endodontic surgery can help you avoid extraction, preserve your natural bite, and prevent the need for more extensive dental work in the future.

Periapical Surgery at Manhattan endodontist New York

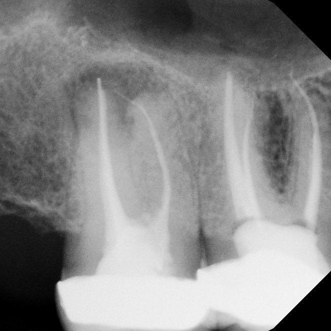
treatment results

Before & After

patient resources

Patient Forms & Documents

New Patient Form

Complete patient information and medical history form

Download PDF

Surgical Consent Form

Apicoectomy surgical consent form and patient information

Download PDF

Pre & Post-Op Instructions

Apicoectomy procedure instructions for before and after surgery

Download PDF

common questions

Frequently Asked Questions

Root canal treatment is needed when the inner tissue of a tooth (the pulp) becomes inflamed or infected due to deep decay, cracks, trauma, or repeated dental work. In some cases, treatment may also be recommended to allow placement of a post for crown support, even if the pulp is not infected.

Without treatment, pulp problems can lead to pain, swelling, or abscess formation. Root canal therapy helps relieve discomfort and preserve your natural tooth for long-term stability.

Endodontic (root canal) treatment removes the infected or damaged pulp inside the tooth, carefully cleans and disinfects the canals, and seals them to prevent reinfection. This process eliminates pain and preserves the natural root structure, allowing the tooth to remain functional and stable once restored with a filling or crown.

The main alternative to root canal therapy is tooth extraction, in which the infected tooth is removed. The missing tooth can then be replaced with options such as dental implants, bridges, or dentures to restore function and appearance.

Another, less common alternative is pulp capping, a procedure that attempts to preserve the tooth by protecting the exposed pulp. However, this option is only suitable in very limited cases, and its success is less predictable compared to root canal treatment.

Many endodontic procedures are performed to relieve the pain of toothaches caused by pulp inflammation or infection. Today, Endodontists understand a great deal about pain management. With modern techniques and anesthetics, the vast majority of patients report that they are comfortable during the procedure. For the first few days after treatment, your tooth may feel sensitive, especially if there was pain or infection before the procedure. Over-the-counter medications, such as Advil® or Tylenol®, are usually enough to manage this sensitivity. In some cases, prescription medications may be necessary and are available from your endodontist at Harp.

Yes. We offer conscious sedation with nitrous oxide (laughing gas) to help patients feel relaxed and comfortable during treatment. For patients with higher anxiety levels or more complex needs, intravenous (IV) sedation can also be arranged in advance with an outside anesthesiologist. Our team will discuss the best option for you during your consultation appointment.

Most root canal treatments are completed in one or two visits, with each session lasting about 90 minutes on average. The exact duration depends on the tooth's anatomy, the severity of infection, and your individual comfort. Our focus is always on providing thorough, precise, and comfortable care rather than rushing the process.

It's normal for a tooth to feel slightly sensitive or different from your other teeth for a short time after treatment, especially when chewing. This mild sensitivity usually improves as the surrounding tissue heals. Once fully restored with a crown or filling, the tooth should feel and function just like your natural teeth. If discomfort or pressure lasts more than a few days, contact our office so we can ensure everything is healing properly.

After your root canal treatment is completed, a detailed report will be sent to your restorative dentist, who will determine the best way to protect and restore your tooth, usually with a crown or permanent filling. You should schedule this follow-up restoration within a few weeks of completing your treatment.

Harp Endodontics uses advanced technology to ensure precision, comfort, and excellent outcomes. We utilize 3D CBCT imaging, operating microscopes, and ultrasonic instrumentation for accurate diagnosis and thorough cleaning. Our laser-assisted irrigation protocol allows deeper disinfection of the canal system, while digital radiography and bioceramic materials promote safe, long-lasting results.